ალერგია, მისი გამომწვევი მიზეზები და მკურნალობა ხალხური მეთოდით.
ალერგია, კარგად ნაცნობი, მაგრამ ჯერ კიდევ შეუცნობელი პათოლოგია. ამ პრობლემით მსოფლიოს მილიონობით მოქალაქე იტანჯება და მათი რიცხვი დღითიდღე იზრდება.
- მავნე გამონაბოლქვი,
- ჰაერის დაბინძურება,
- საყოფაცხოვრებო ქიმია,
- კვებითი დანამატები და უამრავი სხვა.
ადამიანის არსებობისთვის ერთი შეხედვით აუცილებელი პროდუქტი, ახალ-ახალ თავსატეხს გვიჩენს, მათი გადაჭრის გზა კი ჯერ კიდევ არ ჩანს.
მოდით, ყურადღება კიდევ ერთხელ შევაჩეროთ ალერგიასა და მის მიერ გამოწვეული
პრობლემების მრავალფეროვნებაზე.
ჭინჭრის ციება და ანგიონევროზული შეშუპება
ჭინჭრის ციება და ანგიონევროზული შეშუპება (კვინკეს შეშუპება) ფართოდ არის გავრცელებული. სტატისტიკა ამტკიცებს, რომ დედამიწაზე მცხოვრებ ყოველ მეხუთე ადამიანს სიცოცხლეში ერთხელ მაინც გადაუტანია ისინი.
ჭინჭრის ციება – ეს სახელწოდება გამოვლინების თავისებურების გამო მიიღო: გამონაყარი ჭინჭრის ნასუსხს ჰგავს. ბუშტუკებს თან სდევს სიწითლე, შეშუპება და ქავილი. შესაძლოა, ამას დაერთოს სიცხე, თავის ტკივილი და სისუსტეც. ჭინჭრის ციება შეიძლება იყოს როგორც ადგილობრივი, ისე გენერალიზებული.
ჭინჭრის ციება შესაძლოა გამოიწვიოს:
- ფიზიკურმა ფაქტორებმა (სითბო, სიცივე, მზის რადიაცია, წნევა),
- დერმოგრაფიულმა (ან მექანიკურმა) ფაქტორებმა (ვთქვათ, ცალით კანის გაღიზიანებამ),
- სამკურნალო საშუალებებმა,
- მტვერმა.
როცა მიზეზს ვერ პოულობენ, ჭინჭრის ციებას იდიოპათიურს უწოდებენ. ძირითადად კი ჭინჭრის ფორმას განასხვავებენ:
- ალერგიულს
- არაალერგიულს
- მემკვიდრეობითი
კვინკეს შეშუპება – იგივე ანგიონევროზული შეშუპება (ან გიგანტური ჭინჭრის ციება), ჩვეულებრივი ჭინჭრის ციებისგან კანის დაზიანების სიღრმით განსხვავდება. დიდი ზომის შეშუპება ყველაზე ხშირად ჩნდება:
- ტუჩებზე,
- ლოყებზე,
- წარბებზე,
- პირის ლორწოვან გარსზე,
- სასქესო ორგანოზე.
ტიპურ შემთხვევებში იგი რამდენიმე საათის შემდეგ (2-3 დღემდე) უკვალოდ ქრება. შეშუპების საშუალო და მძიმე ფორმების მქონე ავადმყოფი აუცილებლად ჰოსპიტალიზებული უნდა იყოს.
კვინკეს შეშუპების მემკვიდრეობით ფორმას ცალკე გამოყოფენ. ამ ფორმით უმეტესად მამაკაცები ავადმყოფობენ.
შეშუპებას პროვოცირებას უწევს მიკროტრავმები და სტრესები. ხშირად ვითარდება ხორხის შეშუპება. ამ დაავადებას სხვა პრინციპებით მკურნალობენ. ქირურგიული ოპერაციის წინ ამ ტიპის ალერგიის არსებობის (ან ეჭვის) შემთხვევაში აუცილებელია რიგი პროფილაქტიკური ღონისძიების ჩატარება.
მწვავე ჭინჭრის ციება უმეტესად საკვებისმიერი ან წამლისმიერი ალერგიის სიმპტომია. საკვებიდან მის განვითარებას იწვევს:
- კვერცხი,
- არაქისი,
- სოიო,
- ღორის ხორცი,
- რძე,
- თევზი,
- ზღვის სხვა პროდუქტები,
- ქათამი,
- თხილი,
- კაკალი.
წამლებიდან ჭინჭრის ციების გამოწვევა ძალუძს:
- ასპირინს,
- ანტიბიოტიკებს (მათ შორის — პენიცილინის ჯგუფისას),
- სულფანილამიდებს,
- კოდეინს.
ჭინჭრის ციება ასევე შესაძლოა გამოიწვიოს:
- სისხლის გადასხმამ ან სხეულში რენტგენოკონტრასტული ნივთიერების შეყვანამ;
- სიფრიფანაფრთიანი მწერის ნაკბენმა;
- რიგმა ინფექციურმა და ვირუსულმა დაავადებამ, მათ შორის – ჭიებით ინვაზიამ, ჰეპატიტმა და ლამბლიოზმა.
პრობლემამ შესაძლოა თავი იჩინოს ფარისებრი ჯირკვლის პათოლოგიების ფონზეც. კვინკეს შეშუპებისთვის დამახასიათებელია კავშირი გულის უკმარისობისა და მაღალი არტერიული წნევის სამკურნალოდ გამოყენებულ პრეპარატებთან (რენიტეკი, კაპოტენი, ენაპი, პრესტარიუმი და სხვა). ამ დროს შეშუპება ხშირად ენასა და ტუჩებზეა ლოკალიზებული.
საშიშია თუ არა ეს დაავადებები?
ლოკალური ჭინჭრის ციება – მსუბუქ, ხოლო გენერალიზებული ჭინჭრის ციება და კვინკეს შეშუპება საშუალო და მძიმე ალერგიულ რეაქციებად ითვლება.
განსაკუთრებით საშიშია: სახის, კისრის, პირის ღრუსა და ხორხის შეშუპება, რადგან ამას შესაძლოა სუნთქვის გაძნელება.
უნდა გამოირიცხოს ალკოჰოლი, ზოგ შემთხვევაში – ცხელი შხაპი და აბაზანა, ზოგიერთი წნევის დამწევი საშუალება. თუ დამნაშავე პროდუქტი დადგენილია, მისი მიღებაც უნდა აიკრძალოს. მზისმიერი ჭინჭრის ციების დროს გარუჯვა რეკომენდებული არ არის. პაციენტები, რომელთაც მემკვიდრეობითი კვინკეს შეშუპება აქვთ, უნდა ერიდონ კბილის ამოღებას.
ქვემოთ ჩამოთვლილ თითქმის ყველა პათოლოგიის დროს ჭინჭრის ციებისა თუ კვინკეს შეშუპებისმაგვარი სურათი ვითარდება. მაშ ასე:
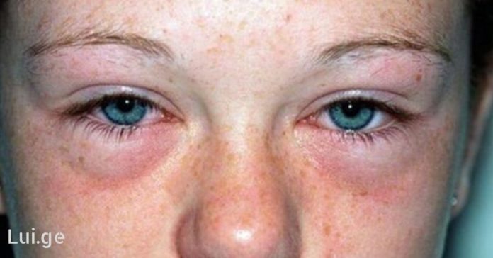
- ალერგიული კონიუნქტივიტი. მისთვის დამახასიათებელია თვალების ძლიერი ქავილი და ცრემლდენა. ალერგიული კონიუნქტივიტი, ჩვეულებრივ, უფრო რთული ალერგიული სინდრომის შემადგენელი ნაწილია, მაგრამ ის შეიძლება დამოუკიდებლადაც აღმოცენდეს ჰაერში გაფანტულ ნაწილაკებთან (მცენარეების მტვერი, სოკოს სპორები, მტვერი, ცხოველების ბეწვი და სხვა) უშუალო კონტაქტის შედეგად.
ჩვეულებრივ, კარგად მოქმედებს ალერგიის საწინააღმდეგო პრეპარატების მიღება. ზოგჯერ აუცილებელია სპეციფიკური მკურნალობა, რომელიც ალერგოლოგმა უნდა დანიშნოს.
წამლისმიერი ალერგიები. ამ ტიპის ალერგიების თავისებურებები ასეთია:
- ალერგიული რეაქცია ვლინდება წამალთან ერთჯერადი ან რამდენიმე კონტაქტის შემდეგ;
- როგორც კი განვითარდება ჰიპერმგრძნობელობა, ალერგიული რეაქცია შესაძლოა გამოიწვიოს წამლის სამკურნალოზე გაცილებით ნაკლებმა დოზამ;
- ალერგიული რეაქციების კლინიკური გამოვლინება შეზღუდულია. წამლისმიერი თერაპიის დროს კანზე გამონაყარი, ძლიერი ქავილი, შრატისმიერი დაავადება, ცხელების მოულოდნელი შემოტევა, ანაფილაქსია (ალერგიის თავისებური მძიმე ფორმა) და სხვა თითქმის ყოველთვის ორგანიზმის მგრძნობელობის მომატების გამო ვითარდება.
სიცივით, მზის სხივებით, ტემპერატურით, ტრავმითა და წყლით გამოწვეული ალერგია. ყველა ჩამოთვლილ შემთხვევაში გამონაყარს თან სდევს ქავილის ძლიერი შეგრძნება. ამ ტიპის ალერგიის დროს ადგილი აქვს ჭინჭრის ციების მსგავს პროცესს.
- საჭმლისმიერი ალერგია. როდესაც კანზე ალერგიულის მსგავსი გამონაყარი ჩნდება, არის ქავილის შეგრძნება, მაგრამ უცნობია მიზეზი, ხშირად ყველაფერს საჭმლისმიერ ალერგიას მიაწერენ. ზოგ შემთხვევაში დამნაშავე მართლაც ის არის, მაგრამ უმეტესად დაავადებას სულ სხვა მიზეზი აქვს, მაგალითად, საჭმლის მომნელებელი სისტემის მოქმედების მოშლილობა, კოლიტი და სხვა ისეთი პათოლოგია. ასეა თუ ისე, უმჯობესია საეჭვო საკვებს თავი ვარიდოთ.
- საყოფაცხოვრებო ალერგია. ამ ტიპის ალერგიაზე დაწვრილებით საუბარი შორს წაგვიყვანს, რადგან საპნიდან და სარეცხი ფხვნილებიდან დაწყებული კრემებით და ლატექს-რეზინით დამთავრებული, ყველაფერი ალერგიული ბუნებისა გახლავთ და განსაზღვრულ შემთხვევებში, ჭინჭრის ციების მარტივ ფორმას და კანის ქავილს ვინ ჩივის, საქმე შესაძლოა მძიმე გართულებამდე მივიდეს.
ახლა კი ვნახოთ, რას გვთავაზობს ხალხური მედიცინა ალერგიის დროს:
1,5 ლ წყალი ადუღეთ 10 წუთი საშუალო ცეცხლზე. ხაზგასმით მინდა გითხრათ, რომ დუღილის ხანგრძლივობა ზუსტად 10 წუთი უნდა იყოს (არც მეტი და არც ნაკლები). შემდეგ შეაგრილეთ და სვით ნებისმიერ დროს ყლუპ-ყლუპად. ასეთი წყალი ხანგრძლივად უნდა სვათ – არაფერს გავნებთ, პირიქით – ცხვირ-ხახა გეწმინდებათ.
ზოგადად, წყალს მეტად დიდი მნიშვნელობა აქვს ცოცხალი ორგანიზმის ნორმალური ფუნქციონირებისათვის. ცირკულაციისთვის ჩვენთვის აუცილებელია დღეში 6-დან 10 ჭიქამდე წყლის მიღება (გარემო პირობების შესაბამისად). თუ ვინმე ფიქრობს, რომ მის ორგანიზმს არ სჭირდება ასეთი რაოდენობით წყალი, ძალიან ცდება.
მდუღარე წყალს აღმოსავლურ ხალხურ მედიცინაში მართლაც იყენებენ, როგორც ორგანიზმის გასაწმენდად და იმუნომოდულატორად. ასეთი წყლის გამოყენებისას აუცილებლად უნდა გაითვალისწინოთ შემდეგი:
წყლის დუღილისას იშლება ქლორი და ქლორის შემცველი ნაერთები, გამოილექება მარილები და კოლოიდური ნაწილაკები, წარმოიქმნება ნალექი, წყალი რბილდება, მასში მცირდება ადვილად აქროლადი კომპონენტების რაოდენობა, ქრება დაავადების გამომწვევი მიკრობები, ბაქტერიები და ვირუსები. ამიტომ დუღილი მართლაც წმენდს წყალს.
მაგრამ ამ პროცესს უარყოფითი ეფექტებიც აქვს:
- დუღილის შედეგად ირღვევა წყლის სტრუქტურა — იგი „კვდება“. რაც უფრო მეტხანს ვადუღებთ წყალს, მით უსიცოცხლო ხდება იგი.
- დუღილისას წყლის აორთქლების გამო მასში მატულობს მარილების კონცენტრაცია, ასეთი წყლის მოხმარებისას კი იზრდება კენჭოვანი პათოლოგიების, სახსრების დაავადებების, ათეროსკლეროზის რისკი.
- დუღილისას ქლორი შეიძლება შევიდეს რეაქციაში სხვა ორგანულ ნაერთებთან და წარმოქმნას ორგანიზმისთვის მავნე ნივთიერებები.
მეცნიერთა დასკვნით, თუ ადამიანი მუდმივად იყენებს ონკანიდან აღებულ და შემდეგ გადადუღებულ წყალს, მას შეიძლება დაუქვეითდეს იმუნიტეტი. უმჯობესია გადასადუღებლად წყაროს წყალი გამოიყენოთ, რომელიც არ შეიცავს ქლორს. ასეთ შემთხვევაში ორგანიზმისთვის ზიანის მიყენების რისკი მინიმალურია. თუმცა ამის მიუხედავად, მაინც არ გირჩევთ ხანგრძლივად ამ მეთოდით გატაცებას, რადგან წყაროს წყალიც კი გადადუღების შემდეგ კარგავს საწყის სტრუქტურას.

















